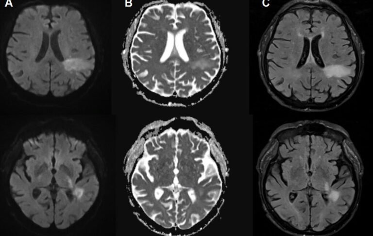
You’re probably already infected with a brain-eating virus you’ve never heard of

There’s a virus you may have never heard of before that is estimated to infect up to 90 percent of people and lurks silently in your cells throughout your life, but if activated, it will destroy your brain. If that’s…













